Pneumocystis jirovecii pneumonia(PCP)の診断と治療(2/3)
(3分割配信の2回目です 1回目)
前回まで、PCPの背景や臨床経過を中心に取り上げましたが、今回はPCPの診断についてまとめたいと思います。
診 断
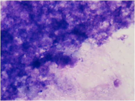
まず、Pneumocystis は基本的に培養されません。ですから、PCPの診断は病理組織学的染色による病原体の特異的な検出に基づいて行なうことがスタンダードです(参考図1、2)。栄養体は、Wright-Giemsa染色法や、その簡易法であるDiff-Quik法で染色することが可能ですが、嚢胞体は染色できません。メテナミン銀染色やトルイジンブルーO染色は嚢胞体を見つけるのに使用されます。免疫蛍光法は、栄養体と嚢胞体の両方とも染色可能で、染色されているかどうかの判断も明快です。

図1 Grocott染色(亀田総合病院感染症内科 山本先生からご提供)

図2 Diff-Quik染色(亀田総合病院感染症内科 山本先生からご提供)
非HIV患者よりもHIV患者のほうがPneumocystis の病原体の量が多く、病理組織学的染色による検出感度は、一般的にHIV患者のほうが高いとされています。
血液検査
白血球数は上昇しないこともあり、CRPなどの炎症所見も乏しいことがあります。白血球数の増減や炎症所見の有無でPCPを診断、除外することはできません。
肺実質の傷害を反映するLDHが上昇することがありますが、決して特異的なものではありません。ただしLDHは治療が進むにつれて正常化するため、治療効果の判断の参考になります。
β-D-glucan
カイネテイック比色法のFungitec G-Testと、比濁法のβ-D-glucan WAKOの2つのキットの利用が可能ですが、それぞれカットオフ値が異なります[3]。すなわち、どちらのキットを使用しているかで数値の解釈が異なってくることに注意が必要です。
主に非HIV患者を対象にした試験では、β-D-glucan WAKOで測定し、31.1pg/mlをカットオフ値とした場合に、感度92.3%、特異度86.1%、陽性的中率61%、陰性的中率98%と報告されています[4]。すなわち、非HIV患者において、WAKOでのβ-D-glucanが31.1 pg/ml以下の陰性結果であれば、PCPの除外診断に利用することもできそうです。
一方で、β-D-glucanの数値と重症度とには相間関係はなく、治療効果とも相間関係はないとされ、重症度判定や効果判定に使用することはあまり適切とはいえません[5]。
胸部画像診断
初期には正常であることも多く、検査前確率の高い臨床背景があれば、たとえ胸部X-rayで所見がなくても安易に否定しないことが重要です。胸部X-rayでは、典型的には肺門部周囲から両側性に広がる浸潤影が見られますが、HIV患者のおよそ10-15%は胸部X-rayで異常が認められません。
そのため、PCPを疑うときには胸部CTを積極的に行なう必要があります。典型的な胸部CT所見では、びまん性で対称性の間質影が見られますが、その他にも様々な所見(非対称性、結節状陰影、空洞、ブラ)があり、すりガラス影ではないからという理由のみでPCPを除外診断することはできません。しかし胸水を伴う場合は少なく[2]、胸水が見られた場合は、むしろ細菌性や結核性など他の原因を疑うほうがよいでしょう。一方で、気胸を生じることもあり、HIV患者に生じた気胸ではPCPの併発を考慮すべきです。
誘発痰と気管支鏡検査、bronchoalveolar lavage(BAL)
最も迅速で非侵襲的な診断方法である、高張食塩水での誘発痰では、HIV患者で特異度は95%以上と良好ですが、感度は56%と低く、特にPCPの予防をされている状態ではさらに感度は低下します。よって、同定できないようであれば、気管支内視鏡検査によるBALを検討します。BALの感度は、PCPを予防されていない場合、95%以上とされています[6]。
一方で、非HIV患者でのBALの感度は、38-53%とHIV患者と比較すると低く、非HIV患者ではBAL陰性でもPCPを除外することは困難です。
PCPを疑う免疫抑制患者の肺炎に対して、治療開始前にBALを速やかに施行できず、治療を先行しなければならない場面はよくあります。特にHIV患者では、治療開始後もpneumocystis は数日間残存するため、まずPCPの治療を開始し、後にBALで検索するという選択肢もあります。また、典型的なPCPと考えられる場合はPCPの治療を行ない、期待した効果が得られない場合にBAL
を推奨するという専門家もいます。
Transbronchial lung biopsy(TBLB)はBALと同等以上の感度を期待できますが、気胸や出血などの合併症を伴います。そのためPCPの診断においてTBLBは必須ではありませんが、他疾患の診断ではTBLBが有用なことがあります。
PCR
Pneumocystis は環境中に存在するため、PCR陽性=PCP確定診断ではないことに注意が必要です。PCR陽性で塗抹陰性のケースでは検査結果の判断は非常に難しくなりますが、HIV患者などで検査前確率が高く、PCPが強く疑われるのであれば、治療することが推奨されています[2]。
HIV患者では、96時間以内に採取されたBALでの検体で、PCRの感度は72-100%、特異度は86-100%と報告されています[7]。また、非HIV患者でのPCRの感度は87.2%、特異度は92.2%、陽性的中率は51.5%、陰性的中率は98.7%とされています[8]。ゆえに、陰性的中率の高さから、PCRはHIV、非HIV患者ともにPCPの除外診断に有用な可能性が高いといえます。現時点で、保険認可されていないこと、コストが高いこと、検査迅速性に乏しいことは課題です。
まとめ
- 胸部Xrayの感度は低いため、PCPが疑われれば積極的に胸部CTを行う。
- 胸部CT所見も非典型例が多いため、注意が必要である。
- 誘発痰、BALによりPneumocystis jirovecii を証明し診断することがスタンダードである。
- 非HIV患者でのBALにおいて、Pneumocystis jirovecii そのものの検出感度は乏しく、PCPの除外診断をすることは困難である。
- PCP-PCRが陽性でも、PCPの診断にはならないが、陰性なら除外診断に使用できる可能性がある。
- β-D-glucanは測定条件によっては、除外診断に使える可能性がある。
次回は、PCPの治療と予防についてレビューしたいと思います。
<References>
3. Watanabe T, Yasuoka A, Tanuma J, et al. Serum (1–>3) beta-D-glucan as a noninvasive adjunct marker for the diagnosis of Pneumocystis pneumonia in patients with AIDS. Clin Infect Dis. 2009;49:1128-31.
4. Cruciani M, Marcati P, Malena M, et al. Meta-analysis of diagnostic procedures for Pneumocystis carinii pneumonia in HIV-1-infected patients. Eur Respir J 2002; 20:982-9.
5. Torres J, Goldman M, Wheat LJ, et al. Diagnosis of Pneumocystis carinii pneumonia in human immunodeficiency virus-infected patients with polymerase chain reaction: a blinded comparison to standard methods. Clin Infect Dis 2000;30:141-5.
6. Elie A, Anne B, Sylvie C, et al. Polymerase chain reaction for diagnosing Pneumocystis pneumonia in non-HIV immunocompromised patients with pulmonary infiltrates. Chest 2009;135;655-661.
(つづく)






