A Pain in the Neck(3/3)
(3分割配信の3回目です 1回目 2回目)
*本症例は、いくつかの症例を総合して作成した架空の症例です。
診断:Lemierre症候群
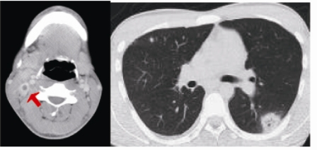
アンピシリン・スルバクタムによる治療を開始した。3日後に血液培養からFusobacterium necrophorumが検出されてきたため、ペニシリンG+クリンダマイシンに変更し、4週間の治療を行った。咽頭スワブ、喀痰培養は陰性であった。各種ウイルス抗体検査は陰性であった。解熱までには約1週間を要したものの、患者は順調に回復した。肺野の結節影はほとんど消失したが、退院直前の頚部エコーでは内頚静脈は閉塞したままであった。約1か月間の治療の後に退院となり、以降再発は認めていない。入院後に撮影されたCT画像を下に示す。
頚部造影CT 胸部CT
赤い矢印は内頚静脈血栓塞像
解 説
Lemierre症候群について
比較的古くから知られている疾患であり、1936年にはLemierreにより詳細な報告が行われた。咽頭感染症から、副咽頭間隙、頸動脈鞘に感染が波及し、血栓性静脈炎を引き起こす。感染性血栓は血流に乗り、肺などで感染性塞栓(Septic emboli)を引き起こす。
起因菌のほとんど(90%以上)はFusobacterium 属であり、その他としてPeptostreptococcusやBacteroidesなども起因菌となりうる。若年健常者にみられることが多く、典型的には本症例のように、胸鎖乳突筋に沿った圧痛・腫脹に加えて、肺野に多発する結節影を示す。
頚部症状がなく、血液培養でFusobacterium 属が培養されてきて初めて診断されることも多い。抗菌薬治療が中心で、スルバクタム・アンピシリンやペニシリンG+クリンダマイシンを4~6週前後使用する。
膿瘍に対しては外科的処置(ドレナージ)が必要になることがある。抗凝固剤の使用に関しては議論があるが、通常は使用しない。頭蓋内にまで炎症が波及したり、動脈破裂を引き起こすことがあり、死亡率は17%にも上る。
Take home message
開口障害は咀嚼筋群への炎症波及を示唆する重要所見!
開口障害があれば感冒よりも、重篤になりうる深頚部感染症を考える!
<Reference>
Sandra J, Bliss M.D., Scott A, et al. CLINICAL PROBLEM-SOLVING: A Pain in the Neck. N Engl L Med.2004; 350:1037-42.
(本例とよく似た経過のLemierre症候群のケースが題材になったCLINICAL PROBLEM-SOLVINGです。)
Hagelskjaer Kristensen L, Prag J. Human necrobacillosis, with emphasis on Lemierre’s syndrome. Clin Infect Dis 2000; 31: 524-32.
(Lemierre症候群に関してよくまとまったReviewです。)
具芳明. 深頚部感染症のマネージメント;市中感染症診療の考え方と進め方. 医学書院,2009.
(IDATENが編集。頚部感染症を解剖学的な観点からまとめており、一般診療医が押さえておくべき点を分かりやすく説明されています。)
(了)






