発熱と全身の皮膚剥離を主訴に来院した60歳代の男性(3/4)
(4分割配信の3回目です。 1回目 2回目)
※本症例は実際にあった症例を元に、個人情報などに配慮しつつ、 再構成したものです。
医師A「検査はどないしよか」
筆者「感染症だとすると、SIRSの状態ですし、敗血症を考えなくてはいけません。DICや多臓器不全を起こしていないかというチェックが必要だと思います。末梢血、生化学、凝固系などでしょうか」
筆者「あとは肺炎を疑っているので胸部X線、血液ガス検査。 喀痰のグラム染色と培養検査も必要かと思います。 そして何といっても血液培養2セットです」
医師A「それは当然やな。さすが今年の血培キング(奈良医大では血液培養採取数のランキングが毎年発表されるのです)。あ、抗菌薬はどないする?」
筆者「敗血症性ショックの可能性もあるので、結果が出る前にエンピリックにバンコマイシンを入れておいたほうがいいかと思います。中心静脈ポート感染だったらブドウ球菌、なかでもメチシリン耐性黄色ブドウ球菌(methicillin resistant Staphylococcus aureus, MRSA)の可能性がありますから。それに抗菌薬投与が1時間遅れるごとに死亡率が上昇していくという話もありますし。胸部X線と喀痰の
グラム染色の結果をみて変更が必要そうであれば変更ということで」
医師A「じゃあそれでいこか」
―というわけで血液検査、胸部X線検査、血液ガス検査、血液培養2セット、喀痰グラム染色を行った。また敗血症性ショックを想定してSurviving Sepsis Campaign 2008,Early Goal Directed Therapyに準じて支持療法を開始した。抗菌薬についてはひとまずバンコマイシン1gを投与した。
血液検査:
WBC 8400 /μl (Stab 12%, Seg 80%, Lym 3.0%, Eo 0.0%, Baso 0.0%), Hb 13.2 g/dl, Hct 38.5 %, PLT 55000 /μl, AST 75 IU/L, ALT 35 IU/L, T-bil 1.4 mg/dl, LDH 498 IU/L, ALP 66 IU/L, γ-GTP 25 IU/L, TP 6.4 g/dl, Alb 3.0 g/dl, BUN 50 mg/dl, Cre 1.80 mg/dl, Na 133 mEq/l, K 4.0 mEq/L, Cl 97 mEq/L, CRP 24.9 mg/dl
胸部X線:
右上葉にブラを認めるが、明らかな肺炎像は認めない。その他異常所見なし。
血液ガス検査:
pH 7.464, pO2 66.2 Torr, pCO2 32.1 Torr, HCO3– 22.7 mEq/L, BE 0.0 mEq/L
喀痰グラム染色:
Clusterを形成するグラム陽性球菌を認めるが、貪食像はない。
胸部X線で肺炎像を認めず、中心静脈ポート感染症とSJS/TENを念頭に置いて治療を開始することとした。急性期DICスコア6点であり、DICを合併しているものと考えられたが、原疾患の治療を優先することとした。
ついで皮膚科医師に相談したところ、「SJS/TENの可能性が高いだろう」という返答であり、ステロイド投与(プレドニゾロン2mg/kg)を行うこととなった。ただし念のために皮膚生検を行っておくことにした。
やはりSJS/TENか……。私の思ったとおりだ。
中心静脈ポート部は視触診上は周囲よりも皮膚剥離の程度が強いくらいで疼痛や腫脹はひどくなかったので、同部位の感染は半信半疑であったが、医師Aからは「前に表面上はまったく異常所見のない植え込み型ペースメーカー感染の例もあったから、今回もどうかわからへんで。知らんけど」と言われたので、もう夕方だったが外科にコンサルトを行った。幸い外科当直医はすぐに病棟に来てポート挿入部を切開してくれた。すると黄色の膿汁が吹き出るように排出された。こ、これは……。
やはり中心静脈ポート感染症か……。私の思ったとおりだ。
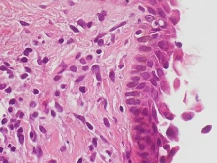
膿汁のグラム染色ではclusterを形成するグラム陽性球菌を多数認め、また翌日には血液培養が陽性になり黄色ブドウ球菌(メチリシン耐性黄色ブドウ球菌:MRSA)と同定されたため、ステロイドは中止した。そして皮膚生検の病理所見では、「表皮は角層と顆粒層を欠いており、表層では棘融解した角化細胞が散見される(図4)」という結果であり、SJS/TENではなく、SSSSと診断された。

図4 表層では棘融解した角化細胞が散見される
やはりSSSSだったか。完璧だ……。
以上のことから、診断は以下のようになった。
# 中心静脈ポート感染症
# MRSA敗血症
# 黄色ブドウ球菌性熱傷様皮膚症候群(SSSS)
インフルエンザで熱が下がらないという前医の情報に惑わされることなく、明らかな皮膚所見のない中心静脈ポート感染症を診断することができた。エンピリックに開始したバンコマイシンは見事に的中し、皮膚生検でSJS/TENも除外することができた。Surviving Sepsisi Campaignに沿って支持療法も順調に進んでいる。私は、自分の診断能力とマネジメントの巧みさに酔いしいれながらワイングラス(にいつも買う伊藤園のオレンジジュースを入れたもの)を片手に詰め所から見える雪解けの大和三山を眺めていた。
「週末はこのことを室生寺の十一面観音菩薩にご報告しなくては……いや、やはり御本尊の如意輪観音が先か……」
その後も表皮剥離は進行し全身に広がっていったが、輸液負荷によってバイタルは安定しEarly Goal Directed Therapyの目標値は達成した。患者が快方に向かっていくのと同時に、私の心も再びお寺の方向に向かいつつあった。そこへちょうど病棟に回診に来ていた医師Aが私に話しかけてきた。
医師A「どうや?」
::::::::::::::::::::::::::::::
このまま安心して現在の治療を継続してよいでしょうか?
ほかに何か考えておくべきことはあるでしょうか?
::::::::::::::::::::::::::::::
(つづく)






